Author: Manpreet Luthra MD PGY-3
Peer Reviewers: Lee LaRavia, DO; Dan Kaminstein, MD
Christopher Crawley, MD; Vijay Reddy, MD
Intellectually disabled and deaf 35 yo F here for reported syncopal episode that lasted
a few minutes while seated at dinner (approximately 15 minutes ago). Currently at
baseline. At the time, her deaf boyfriend was with her but not with her at presentation.
Patient is accompanied by boyfriend’s grandmother. She states that she had some
chest pain just before the episode.
HR:104, BP:98/56, RR: 20, SpO2: 98%, T: 97.6F, BG 145.
PE: Currently at baseline. Mild bilateral CVA tenderness
Labs and Imaging: Blood Culture x 2, POC Preg, EKG 12 lead, BG,UA w/ Culture,
Lactic acid, BNP, CBC, CMP, CK, Lipase, POC troponin, Ethanol , Acetaminophen,
Salicylate, UDS, TSH, T4, CTA Chest PE, CT Abdomen Pelvis w/contrast, Chest XR
2 View
DDX: Hypoglycemia, Myocardial Infarction, Seizure, Congenital/premature aortic
stenosis, Electrolyte imbalance, Sepsis/Septic shock 2/2 pyelonephritis?, Arrythmia,
Pulmonary Embolism, Stroke, Toxin, Head trauma

Patient goes to the bathroom. Has a syncopal event in the restroom. Remains tachycardic with BP of 70’/50’s. Hypoxic to the 70’s. Placed on NIV but did not tolerate > High Flow. Started on Levophed. Rushedto CT, but before she did…
Severe interval worsening of pulmonary emboli clot burden, now involving the bilateral main pulmonary arteries, with occlusive pulmonary emboli in the right upper, middle and lower lobes and left lower lobe. Nonocclusive pulmonary emboli in the left upper lobe.
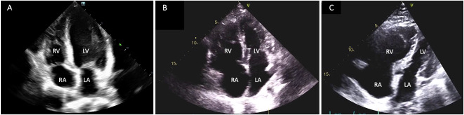
Imaging findings of severe right heart strain with bowing of the interventricular septum into the left ventricle, and severely elevated RV/LV ratio of 2.0. Backing of intravenous contrast into the liver veins as well. Emergent PERT consultation is recommended.
American Heart Association and European Society of Cardiology have agreed to three classifications of pulmonary embolism

RV:LV ratio: Normal is .67:1, mild dilation is .67:1 to 1:1, moderate dilation is 1:1 to 1.5:1, and severe dilation is greater than 1.5:1

Septal Flattening (“D sign”)

McConnell Sign
Tricuspid Annular Plane Systolic Excursion (TAPSE) < 17mm / 1.6cm => RV systolic dysfunction. Normal mean is 24mm +/- 3mm.

Re-assess patients after an acute change, going through the ABC's with US.
LV hyperdynamic collapse does not necessarily mean the patient needs IV
fluids.
In submassive and massive PE, IV fluids can worsen right ventricular strain and potentially reduce cardiac output, particularly in the presence of right ventricular dysfunction.
Early pressor support is more beneficial than aggressive IV fluids
1. Afonso, L., Sood, A., Akintoye, E., Gorcsan, J., Rehman, M. U., Kumar, K., Javed,
A., Kottam, A., Cardozo, S., Singh, M., Palla, M., Ando, T.,
Adegbala, O., Shokr, M., & Briasoulis, A. (2019). A Doppler Echocardiographic Pulmonary
Flow Marker of Massive or Submassive Acute
Pulmonary Embolus. Journal of the American Society of Echocardiography, 32(7), 799–806.
https://doi.org/10.1016/j.echo.2019.03.004
2. Alerhand, S., Sundaram, T., & Gottlieb, M. (2021). What are the echocardiographic
findings of acute right ventricular strain that suggest
pulmonary embolism? Anaesthesia, Critical Care & Pain Medicine, 40(2), 100852. https://doi.org/10.1016/j.accpm.2021.100852
3. Daley, J. I., Dwyer, K. H., Grunwald, Z., Shaw, D. L., Stone, M. B., Schick, A.,
Vrablik, M., Kennedy Hall, M., Hall, J., Liteplo, A. S., Haney, R.
M., Hun, N., Liu, R., & Moore, C. L. (2019). Increased Sensitivity of Focused Cardiac
Ultrasound for Pulmonary Embolism in Emergency
Department Patients With Abnormal Vital Signs. Academic Emergency Medicine, 26(11),
1211–1220. https://doi.org/10.1111/acem.13774
4. Fields, J. M., Davis, J., Girson, L., Au, A., Potts, J., Morgan, C. J., Vetter,
I., & Riesenberg, L. A. (2017). Transthoracic Echocardiography for
Diagnosing Pulmonary Embolism: A Systematic Review and Meta-Analysis. Journal of the
American Society of Echocardiography, 30(7), 714-723.e4. https://doi.org/10.1016/j.echo.2017.03.004
5. Konstantinides, S. V., Meyer, G., Becattini, C., Bueno, H., Geersing, G.-J., Harjola,
V.-P., Huisman, M. V., Humbert, M., Jennings, C. S.,
Jiménez, D., Kucher, N., Lang, I. M., Lankeit, M., Lorusso, R., Mazzolai, L., Meneveau,
N., Ní Áinle, F., Prandoni, P., Pruszczyk, P., & Righini,
M. (2019). 2019 ESC guidelines for the diagnosis and management of acute pulmonary
embolism developed in collaboration with the europeanrespiratory society (ERS). European
Heart Journal, 41(4), 543–603. https://doi.org/10.1093/eurheartj/ehz405
6. POCUS in Practice. (2022a, January 11). How to... Measure TAPSE. YouTube. https://www.youtube.com/watch?v=DmRotfyMIQw
7. POCUS in Practice. (2022b, January 11). How to... Measure TV s’. YouTube. https://www.youtube.com/watch?v=fY4iiYvBC2Q
8. Wahl, A., Praz, F., Schwerzmann, M., Bonel, H., Koestner, S. C., Hullin, R., Schmid,
J.-P., Stuber, T., Delacrétaz, E., Hess, O. M., Meier, B., & Seiler, C. (2010). Assessment
of right ventricular systolic function: Comparison between cardiac magnetic resonance
derived ejection fraction and pulsed-wave tissue Doppler imaging of the tricuspid
annulus. International Journal of Cardiology, 151(1), 58–62.
https://doi.org/10.1016/j.ijcard.2010.04.089